Global AI Innovation
Challenge Series 2021

APTOS Big Data Competition:
Prediction on DME Patients’ Response to Anti-VEGF Treatment

Competition Overview
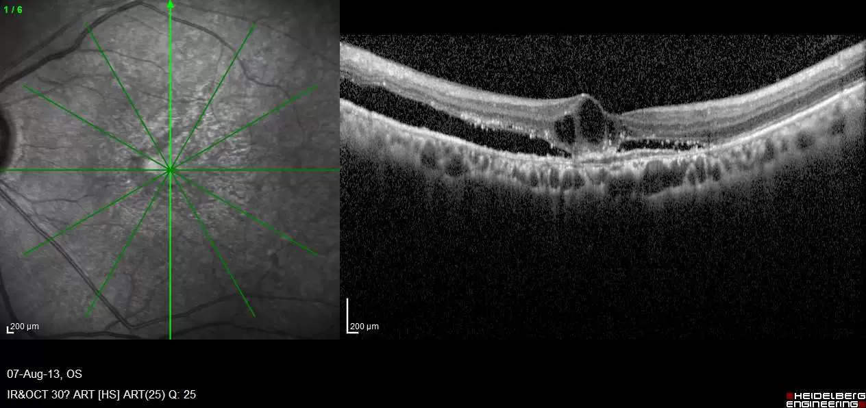
Supported by the Department of Medical Services, Ministry of Public Health, Thailand, the 2nd APTOS Big Data Competition is hosted by the Asia Pacific Tele-Ophthalmology Society and co-hosted by Rajavithi Hospital and Zhongshan Ophthalmic Center. The Competition focuses on the prediction of anti-VEGF treatment outcomes on patients with diabetic macular edema (DME). In this synchronous competition, you’ll build a machine learning model to predict treatment response of patients with DME. You’ll work with thousands of images collected in hospital settings to help predict patients’ response to anti-VEGF treatments. If successful, you will help ophthalmologists customize treatment plans and ensure timely and effective treatments for patients.
Open to AI Developers Around the World
Use AI Algorithms to Solve Real-world Problems
Cash Prizes and Exclusive Chances for Winners

Prizes

Participants with the best scores on the leaderboard will receive the following prizes.

  • First Place

    $8000 USD in Cash Prize

  • Second Place

    $5000 USD in Cash Prize

  • Third Place

    $2000 USD in Cash Prize

Winners in this competition will be invited to contribute to the joint APTOS-ZOC AI Seminar, a sequel of the 6th Asia Pacific Tele-Ophthalmology Society Symposium, on December 4, 2021. All winners must present in the Presentation session on December 4 in order to become eligible for the cash prizes.

Schedule

  • Sep 1, 2021
    Preliminary round begins
  • Nov 19, 2021
    Preliminary round ends
  • Nov 23, 2021
    Final round begins
  • Dec 24, 2021
    Final round ends
  • Mid-January 2022
    Final presentation

Datasets

In this synchronous competition, you’ll build a machine learning model to predict treatment response of patients with diabetic macular edema (DME). In order to do so, the competition provides thousands of patients' Optical coherence tomography (OCT) images collected in hospital settings to help predict patients’ response to anti-VEGF treatments 6 months after the loading treatment.

Organizers and Partners

Hosts
Co-hosts
Partners
phone Contact Us
Hi, I'm Alibaba Cloud AI Agent!
I can help with questions and solutions.